Modern LANAP® Technology for Gum Health
The Laser-Assisted New Attachment Procedure provides gentle and effective treatment for gum disease. At Advanced Torrance Dental Group, we specialize in this minimally invasive laser therapy that protects and preserves your natural teeth. Using precise laser technology, we successfully treat periodontitis while maintaining your existing dental work – offering solutions even in cases where tooth preservation seemed impossible.
Transforming Lives Through Modern Gum Treatment
LANAP® at Advanced Torrance Dental Group offers hope for patients facing severe periodontal challenges, including those with full mouth reconstruction complications. Our approach helps protect your significant investment in dental work, particularly crucial for patients with existing implants or all-on-X procedures where stability is essential.
- Preserves existing dental work worth thousands
- Treats post-reconstruction periodontal disease
- Stabilizes compromised gum conditions
- Prevents the need for full tooth extraction
- Maintains functionality of natural teeth
Advanced Outcomes in Periodontal Care
LANAP® provides comprehensive treatment for gum disease recovery. Advanced Torrance Dental Group’s laser protocol stimulates natural tissue regeneration, promoting the development of healthy gum attachments and supporting bone structure rehabilitation. This thorough healing process delivers reliable, lasting results.
- Gentle healing with minimal discomfort
- Enhanced gum tissue regeneration
- Effective bacterial elimination
- Reduced periodontal pocket depth
- Long-term gum stability
Your journey to optimal gum health deserves the most advanced solutions available. At Advanced Torrance Dental Group, we provide the expertise and technology needed to address complex periodontal issues effectively. Our LANAP® treatment offers a sophisticated approach to preserving your natural teeth and protecting your oral health investment.
Modern Laser Dentistry Solutions
We look forward to servicing you and helping to educate our patients on this wonderful advancement.
Understanding LANAP® Treatment Benefits
The Laser-Assisted New Attachment Procedure (LANAP®) at Advanced Torrance Dental Group revolutionizes gum disease treatment. Unlike conventional surgery, our laser technology specifically targets harmful bacteria while preserving healthy tissue, promoting natural regeneration of your gums.
- No cutting or suturing required
- Minimal post-procedure swelling
- Quick return to daily activities
- Enhanced gum tissue regeneration
- Proven effectiveness for periodontal disease
Transform Your Smile With Laser Depigmentation
Our laser gum depigmentation treatment offers a solution for uneven gum coloration, enhancing your smile’s appearance. Advanced Torrance Dental Group’s specialized laser technology precisely targets excess melanin without affecting surrounding healthy tissue.
- Comfortable treatment under local anesthesia
- Even, natural-looking results
- Treatment for isolated spots or full gum lightening
- Immediate return to normal eating and drinking
- Long-lasting outcomes with proper care
We understand that choosing the right dental treatment matters. Our laser dentistry procedures provide the perfect balance of innovative technology and gentle care, ensuring your comfort while delivering outstanding results. You’ll experience the benefits of reduced healing time and minimal discomfort, all while achieving optimal oral health outcomes.
Clear Aligners for Your Perfect Smile
Creating your ideal smile starts with a foundation of optimal dental health. At Advanced Torrance Dental Group, we take a comprehensive approach to clear aligner treatment, ensuring your teeth are healthy and ready for alignment. Our two-phase process begins with addressing any underlying dental concerns before crafting your personalized alignment plan, setting you up for lasting success.
Maintaining Healthy Teeth During Alignment
Your oral health journey doesn’t pause during clear aligner treatment. Advanced Torrance Dental Group’s unique approach prioritizes continuous dental wellness throughout your alignment process. We carefully monitor your progress while maintaining the health of your teeth and gums, creating an integrated treatment experience.
- Professional dental cleanings during alignment
- Regular check-ups to monitor oral health
- Custom hygiene protocols for aligner care
- Prevention of potential dental issues
- Adjustments to treatment as needed
Building Your Future Smile Today
Clear aligners represent more than just straight teeth – they’re an investment in your long-term dental wellness. Our team at Advanced Torrance Dental Group designs your treatment plan with your future oral health in mind, considering factors like bite alignment, jaw comfort, and overall dental function.
- Personalized treatment timeline
- Digital smile preview options
- Regular progress assessments
- Bite optimization planning
- Long-term retention strategy
Your smile transformation deserves careful attention to both health and aesthetics. By choosing Advanced Torrance Dental Group for your clear aligner treatment, you’re selecting a dental team that understands the importance of building upon a healthy foundation. We guide you through each step, ensuring your journey to straighter teeth enhances your overall dental well-being.
Advanced Emergency Dental Treatment
Time-sensitive dental issues demand skilled expertise and precise care. Advanced Torrance Dental Group offers comprehensive emergency dental services with state-of-the-art diagnostic capabilities and same-day appointments. Drawing on three decades of experience, Dr. Mansoureh Soltani and our specialized team provide focused solutions for acute dental concerns, ensuring prompt attention when urgent care matters most.
Quick Solutions for Urgent Dental Problems
When dental emergencies strike, immediate professional attention can make the difference between saving and losing a tooth. The team at Advanced Torrance Dental Group specializes in rapid response care for various urgent dental situations, from severe toothaches to traumatic injuries.
- Immediate care for knocked-out or loose teeth
- Expert treatment of dental abscesses and infections
- Swift repair of broken or cracked teeth
- Emergency restoration of damaged dental work
- Same-day pain relief solutions
Understanding Emergency Dental Care
Every minute counts during a dental emergency. At Advanced Torrance Dental Group, we begin with a thorough same-day examination and necessary X-rays to diagnose the root cause of your emergency. This careful assessment leads to targeted treatment plans that address both immediate concerns and prevent future complications.
- Comprehensive emergency examinations
- Advanced diagnostic imaging
- Clear treatment explanations
- Immediate pain management strategies
- Prevention-focused aftercare plans
Don’t wait when dental emergencies arise – your oral health is our priority. Our dedicated team at Advanced Torrance Dental Group combines cutting-edge technology with gentle, experienced care to resolve your urgent dental needs efficiently and comfortably. We’re here to restore your dental health and peace of mind when you need us most.
Professional Prosthodontic Restorations
Custom-crafted crowns and bridges from Advanced Torrance Dental Group provide lasting solutions for damaged or missing teeth. Each restoration is meticulously designed to match your natural teeth while ensuring optimal function and comfort. Our prosthodontic treatments combine advanced materials with precise craftsmanship to create restorations that withstand daily use while maintaining their aesthetic appeal.
Long-Term Value of Quality Restorations
When you choose Advanced Torrance Dental Group for your crown or bridge work, you’re investing in durable dental solutions that stand the test of time. Our custom-fitted restorations are crafted to precise specifications, ensuring proper bite alignment and natural appearance while protecting your underlying oral structures.
- Custom color matching for seamless integration
- Precise fit to prevent future complications
- Superior materials for maximum durability
- Protection of remaining natural teeth
- Enhanced bite functionality and comfort
Comprehensive Benefits of Modern Prosthodontics
The team at Advanced Torrance Dental Group understands that successful prosthodontic treatment extends beyond mere tooth replacement. Your custom restoration addresses multiple aspects of oral health, from maintaining proper tooth alignment to preventing bone loss and preserving facial structure.
- Restored chewing and speaking ability
- Prevention of tooth shifting
- Maintained facial structure integrity
- Enhanced smile aesthetics
- Improved oral hygiene accessibility
Your smile deserves personalized attention and expert care. Advanced Torrance Dental Group combines technical precision with artistic skill to create prosthodontic solutions that look natural, feel comfortable, and function properly. We focus on delivering restorations that not only solve immediate dental concerns but also support your long-term oral health goals.
Understanding LAPIP Treatment for Implant Health
The Laser-Assisted Peri-Implantitis Protocol offers specialized care for dental implant complications at Advanced Torrance Dental Group. Using the precision of the PerioLase MVP-7 laser technology, this minimally invasive treatment addresses inflammation and bone loss around dental implants. Clinical studies show remarkable success rates, with 95% of treated implants achieving stabilization and bone regeneration of 3-8 threads.
Maintaining Long-Term Implant Success
Early intervention with LAPIP treatment at Advanced Torrance Dental Group can help preserve your investment in dental implants. Our specialized approach targets infection and inflammation while promoting natural tissue regeneration, addressing peri-implantitis before it leads to implant failure.
- Targeted removal of infected tissue
- Preservation of healthy surrounding structures
- Stimulation of natural bone regeneration
- Protection of existing implant integration
- Prevention of further bone loss
Professional Care for Implant Complications
The team at Advanced Torrance Dental Group understands the complexity of implant-related issues. Our LAPIP protocol provides precise treatment while carefully maintaining the integrity of your existing dental work. This specialized approach allows us to address peri-implantitis without compromising the surrounding healthy tissue.
- Minimally invasive treatment approach
- Reduced recovery time
- Lower risk of complications
- Proven clinical effectiveness
- Enhanced tissue healing
Protecting your investment in dental implants requires specialized care and expertise. Advanced Torrance Dental Group provides the advanced technology and clinical experience needed to address implant complications effectively. Through LAPIP treatment, we help ensure the longevity and stability of your dental implants while maintaining your oral health.
Comprehensive Dental Implant Treatment
At Advanced Torrance Dental Group, dental implants provide more than just tooth replacement – they deliver a complete restoration of your smile’s function and appearance. Our titanium implant solutions integrate naturally with your jawbone, creating a stable foundation for crowns, bridges, or dentures. Dr. Soltani’s comprehensive approach begins with detailed 3D imaging and treatment planning, ensuring optimal placement and long-term success.
Lasting Benefits of Modern Implant Solutions
The advantages of choosing dental implants at Advanced Torrance Dental Group extend far beyond aesthetics. These biocompatible titanium posts actively preserve your oral health by maintaining bone structure and supporting natural jaw function, offering a permanent solution for missing teeth.
- Natural look and feel of replacement teeth
- Preserved facial structure through bone stimulation
- Enhanced chewing and speaking ability
- Freedom from adhesives and adjustments
- Simplified daily oral care routine
Planning Your Lifetime Smile Investment
Your implant journey at Advanced Torrance Dental Group follows a carefully structured process designed for predictable, lasting results. Our state-of-the-art technology and expertise ensure precise implant placement and seamless integration with your natural smile.
- Detailed 3D treatment planning
- Precise surgical placement
- Monitored healing and integration
- Custom-crafted final restorations
- Long-term maintenance support
Choosing dental implants means investing in your future oral health. Advanced Torrance Dental Group combines technical precision with personalized care to create natural-looking, comfortable, and durable tooth replacements. Let our experienced team help you restore your confidence with a smile that looks, feels, and functions like natural teeth.
Advanced Torrance Dental Group: Where Innovation Meets Compassion in Dental Care
At Advanced Torrance Dental Group, we blend cutting-edge technology with a deeply personalized approach to redefine your dental experience. Located in the heart of Torrance, CA, our modern practice is committed to guiding patients through every step of their oral health journey with clarity, comfort, and confidence. Led by Dr. Soltani and a team of experienced professionals, we focus on advanced solutions like laser dentistry and clear aligners while prioritizing patient trust and education. Whether you’re seeking preventive care, emergency treatment, or a complete smile transformation, we’re here to make high-quality dentistry more approachable, understandable, and effective for the whole family.
Read More
Dental visits don’t have to be something you dread. At Advanced Torrance Dental Group, we’ve created an environment where anxiety melts away and genuine care takes priority. Our practice combines cutting-edge laser technology with warm, personalized attention for dental experiences worth smiling about.
Dr. Mansoureh Soltani brings both technical expertise and a gentle approach to every patient interaction. We focus on more than just teeth—we care for the whole person, building lasting relationships while improving your oral health and confidence. When you choose our practice, you’ll find a dental home where your comfort matters as much as your treatment outcomes.


Our Mission
At Advanced Torrance Dental Group, we believe that great oral health is the foundation for a better life. Our mission is to provide top-quality dental care for your entire family in a positive, stress-free environment. We take a holistic approach to dentistry, recognizing that oral health is deeply connected to your overall well-being.
Through preventative care, advanced technology, and building lasting relationships with our patients, we strive to make every visit comfortable while ensuring your smile remains as healthy and beautiful as possible. Our team is dedicated to educating our patients about the importance of oral health and guiding them through treatments with clarity and compassion.

Why Choose Us
When selecting a dental provider, you deserve a practice that combines technical expertise with genuine care for your comfort and well-being. Advanced Torrance Dental Group stands out through our commitment to exceptional patient experiences and cutting-edge dental solutions.
Featured Treatments for Modern Dental Care
At Advanced Torrance Dental Group, we focus on high-impact treatments that combine advanced technology with patient-centered care. Explore a few of our most requested services:
Laser Dentistry
Experience the future of gentle, minimally invasive dentistry. Our laser treatments, including LANAP® Laser Gum Surgery and LAPIP® Laser Implant Surgery, allow for precise, comfortable care with minimal recovery time. Whether you’re treating gum disease or saving dental implants, laser technology promotes natural healing and bone regeneration without cutting or sutures.
Emergency Dentistry
When dental emergencies strike, you need fast, dependable care. We offer same-day emergency appointments for issues like toothaches, broken teeth, infections, or oral trauma. Our team is equipped to handle urgent cases with compassion and skill, helping you feel better, fast.
Clear Aligners
Straighten your smile discreetly and comfortably with custom clear aligners. Designed for adults and teens, this modern orthodontic solution aligns your teeth gradually while focusing first on your overall oral health. No brackets, no wires, just a healthier, more confident smile.
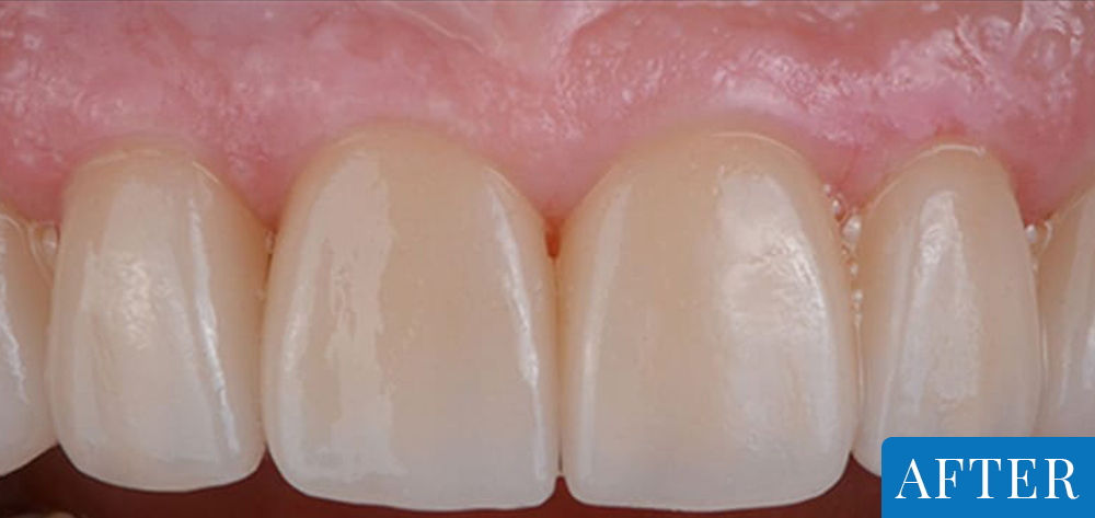
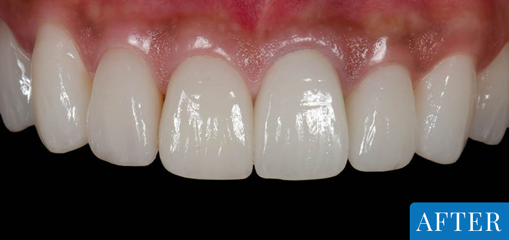
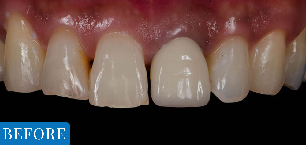
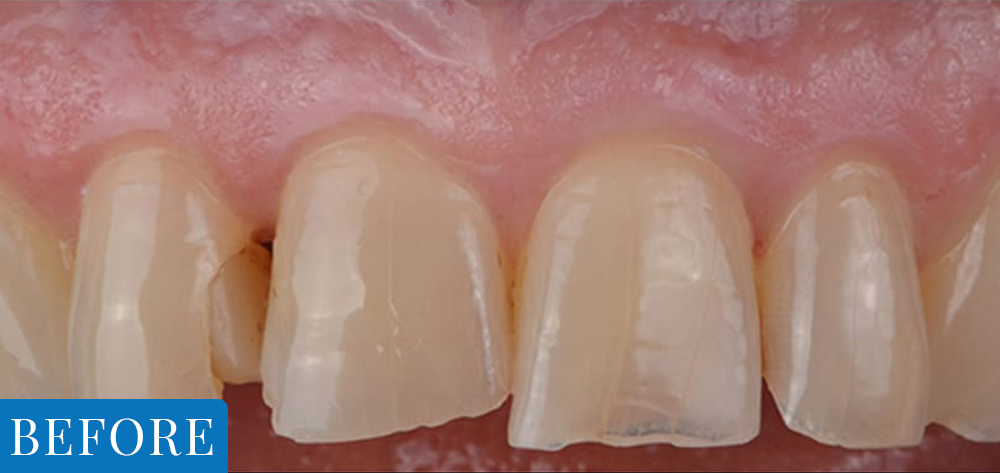
SMILE GALLERY



Advanced Technologies for Precision Dentistry
At Advanced Torrance Dental Group, we invest in the latest dental technologies to deliver more accurate diagnoses, more comfortable procedures, and better long-term outcomes. Our modern tools are designed to make your care faster, safer, and more effective.
Laser Technology
Our dental laser allows for minimally invasive treatments like LANAP® gum surgery and LAPIP® implant therapy. Laser dentistry promotes faster healing, reduced discomfort, and greater precision—without the need for cutting or sutures.
CBCT 3D Imaging
Cone Beam CT scans provide detailed 3D images of your teeth, jaw, and bone structure. This technology is essential for safe, accurate planning in procedures like implants, root canals, and TMJ treatment.
PrimeScan Digital Scanner
Say goodbye to messy impressions. Our PrimeScan captures high-resolution, digital impressions in seconds, making crown fittings, aligners, and other restorations more comfortable and more precise.
TMJ Diagnostic Scanner
We use advanced scanning technology to diagnose jaw joint issues with pinpoint accuracy. This allows us to create custom orthotic appliances that relieve TMJ pain and restore proper jaw alignment.
Implant Technology
From digital planning to surgical placement, our implant system ensures long-lasting, natural-looking results. We combine imaging, scanning, and guided techniques to place implants with maximum precision and patient safety.
Advanced Torrance Dental Group welcomes your dental care needs!
Your oral health deserves the highest standard of care using the most advanced techniques available. At Advanced Torrance Dental Group, Dr. Mansoureh Soltani combines cutting-edge technology with over 30 years of experience to deliver exceptional results. Don’t wait to transform your smile and improve your overall well-being.
Call us today at 310.534.1809 to schedule your appointment or take advantage of our new patient offer. Connect with Dr. Soltani on Facebook and Instagram for oral health tips, patient success stories, and exclusive offers.
Meet Our Doctor
Dr. Mansoureh Soltani, DDS, is the heart and soul of Advanced Torrance Dental Group. With over three decades of experience in dentistry, she combines exceptional skill with genuine compassion for each patient. After earning her Doctor of Dental Surgery degree from USC Herman Ostrow School of Dentistry, Dr. Soltani overcame numerous challenges as an immigrant establishing herself in a new country. Her journey from associate dentist to proud owner of her own practice reflects her dedication and perseverance.
Patients describe Dr. Soltani as warm, approachable, and calming even in high-pressure situations. Her commitment to continuing education ensures she stays at the forefront of dental advancements, offering you the most innovative and effective treatments available.

$120 NEW PATIENT OFFER*
Consists of Comprehensive Dental Exam, X-rays, & Cleaning
*In absence of gum disease

FAQs
What services does Advanced Torrance Dental Group offer?
Advanced Torrance Dental Group provides a comprehensive range of dental services including general dentistry, emergency care, laser dentistry, TMJ/TMD treatment, root canal therapy, cosmetic dentistry, and dental implants. We also offer specialized laser treatments such as LANAP® for gum disease and laser depigmentation for gum discoloration. Our practice is equipped with cutting-edge technology to ensure you receive the highest quality care for all your dental needs.
What are your business hours?
Advanced Torrance Dental Group is open Monday through Thursday from 9:00 AM to 5:00 PM to accommodate your busy schedule. We are closed Friday through Sunday to allow our team time to rest and prepare for providing exceptional care the following week. If you experience a dental emergency during business hours, we offer same-day emergency appointments to address urgent dental needs quickly.
Do you have any special offers for new patients?
Yes, we’re currently offering new patients a comprehensive package for just $97 that includes a complete dental exam, X-rays, and cleaning (when gum disease is not present). This introductory offer allows us to thoroughly assess your oral health and develop a personalized treatment plan. Additionally, we offer same-day emergency appointments for patients experiencing urgent dental issues who need immediate care.
What makes your laser dentistry treatments special?
Our laser dentistry treatments represent the cutting edge of modern dental care, offering significant advantages over traditional methods. These procedures are minimally invasive, often requiring less anesthesia and resulting in faster healing times with reduced discomfort. Laser treatments are particularly beneficial for patients with implants, crowns, and gum complications, effectively addressing conditions like implantitis and gum bleeding while forming the foundation for other advanced procedures.
How does Dr. Soltani approach patient care?
Dr. Soltani takes a holistic, patient-centered approach that considers how oral health connects to your overall wellbeing. She believes in creating a positive environment where patients feel comfortable asking questions and expressing concerns about their treatment. Dr. Soltani focuses on preventative care and building trust through education and transparency, helping patients understand both the immediate benefits and long-term importance of proper dental care.






